reception@armadaledentalcentre.com.au
(08) 9497 9700
Facebook
Open:
Mon - Fri 8:30am-5:30pm |
Sat - Sun 8:00am-1:00pm
Facebook
HOME
ABOUT US
Meet Our Team
Gallery – Dental Implants
DENTAL SERVICES
General Dentistry
Endodontic Treatment
Tooth Coloured Fillings
Oral Sedation
COSMETIC DENTISTRY
Tooth Whitening
Veneers or Facings
Crown & Bridgework
Dental Implants
SPECIAL OFFERS
PAYMENTS
Afterpay
National Dental Plan
CONTACT
Book Appointment
Select Page
Book Appointment
(08) 9497 9700
Home
»
Gallery
»
Dental Implants
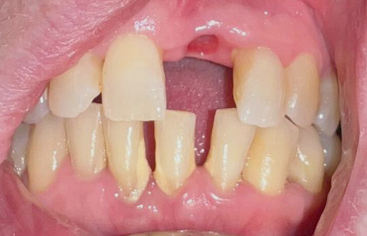
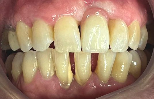
Dental Implants
After
Before
Quick Links
Book Appointment
Call Us